chronic myelomonocytic leukaemia (CMML) (Blood 2017, WHO 2016)

Persistent peripheral blood monocytes >1x10e9/l plus Monocytes >10% of white blood cells on film

N.B. See also MDS

CMML.jpg

intro


MDS/MPN overlap syndrome

Incidence - 3-4 per million per year in USA & Europe

Median age 72 years old

Male: Female 2:1

Median survival only 20-40 months

Leukaemic transformation in 15-30%

who-HAEM5 diagnostic criteria

Diagnostic Requirements

Prerequisite criteria must be present but:

  • Monocytosis >1.0: Any one or more supporting criteria must be met

  • Monocytosis 0.5-1.0: Supporting criteria 1 and 2 must be met

Prerequisite Criteria

Persistent peripheral blood monocytosis (>0.5x10e9/l) AND monocytes >10% of white blood cell count

<20% blasts (myeloblasts, monoblasts and promonocytes) in PB and BM

Not meeting the criteria for CML, Myelofibrosis, PV or ET

Not meeting the criteria for myeloid/lymphoid neoplasms with tyrosine kinase fusions

Supporting Criteria

1.Dysplasia in one or more lineages (can be absent if other criteria are met and cytogenetic abnorm. present)

2. Acquired clonal cytogenetic or molecular abnormality

3. Abnormal partitioning of peripheral blood monocyte subsets with increased classical monocytes (CD14+, CD16-, >95%)

Subtyping

Myelodysplastic CMML (MD-CMML) = WBC <13

Myeloproliferative CMML (MP-CMML) = WBC >13

Subgrouping

CMML-1 = <10% BM and <5% PB blasts

CMML-2 = 10-19% BM and 5-19% PB blasts

clinical features


Two laboratory/clinical phenotypes seen

  • Myeloproliferative (MP-CMML) - Adverse outcome. RAS pathway mutations often present.

  • Myelodysplastic (MD-CMML)

Constitutional symptoms, symptomatic cytopenias, splenomegaly

Extramedullary myelomonocytic infiltrates, associated autoimmune/inflammatory disorders.


laboratory features


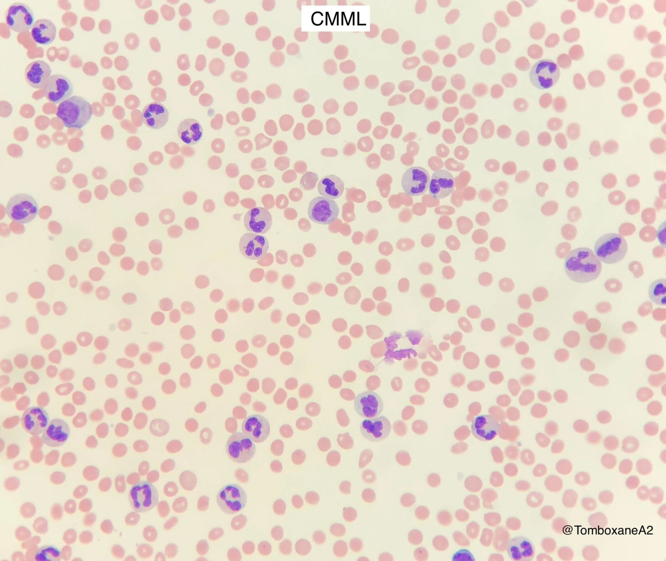
Blood film:

  • Persistent monocytosis (>1x10e9/l) / Monocytes >10% of peripheral blood white cells

  • Often moderate thrombocytopenia with anisocytosis

  • Normo- or macro-cytic anaemia

  • Monocytes generally mature and normal looking but abnormal monocytes may be present

  • Neutropenia or neutrophilia, in either case dysplastic changes are usually present

  • Picture & Picture 2

Cytogenetic Abnormalities

  • Detected in approx 30% of patients. Trisomy 8, -Y, Monosomy 7, -7q, Trisomy 21, del(20q)

Molecular

  • Detected in >90% of patients using molecular panels

  • TET2, SRSF2, ASXL1, and RAS pathway genes (NRAS, KRAS, CBL)

prognosis / risk stratification

MPN-CMML typically poorer prognosis than MDS-CMML

Median survival ranges from <12 months in older patients, up to 3 years in some subgroups

Several scoring systems available, e.g. CPSS-Mol

Cytogenetic risk:

  • Low risk - Normal karyotype, loss of Y

  • Intermediate

  • High risk - Trisomy 8, Monosomy 7, complex karyotype

Molecular risk:

  • Poor prognosis with SRSF2 or ASXL1 mutation.

  • TET2 mutation no prognostic signif


management


Supportive Care

  • Blood product support

  • Erythropoeitin-stimulating agents (ESAs) - may achieve transfusion independence in 30% of patients

  • ?Thrombopoietin (TPO) receptor agonists (e.g. eltrombopag)? - clinical trials

  • Infection prophylaxis

Cytoreduction

  • Hydroxycarbamide for leukocytosis, constitutional symptoms, splenomegaly, EM haematopoeisis

  • Does not improve overall survival

Hypomethylation

  • Azacitidine NICE approved for CMML-2

  • Response rates 30-60% (CR <15%)

Allogeneic stem cell transplant

  • Potentially curative option for young/fit enough patients

    • Approx 30% post-transplant survival after a few years

    • Deaths equally due to treatment-related complications as from disease relapse

Emerging / Non-NICE approved therapies

  • Lenzilumab - Anti GM-CSF. Promising results in combo w/ Azacitidine (PREACH-M 2024)